The technique of removing a broken file in endodontics using ultrasonics, specifically with the ED87, ED88, ED89, and ED6 tips can be a delicate and precise procedure. This technique is especially valuable for ensuring minimal dentine removal and preserving tooth structure. Here's a detailed step-by-step guide:
1. Diagnostic Assessment:
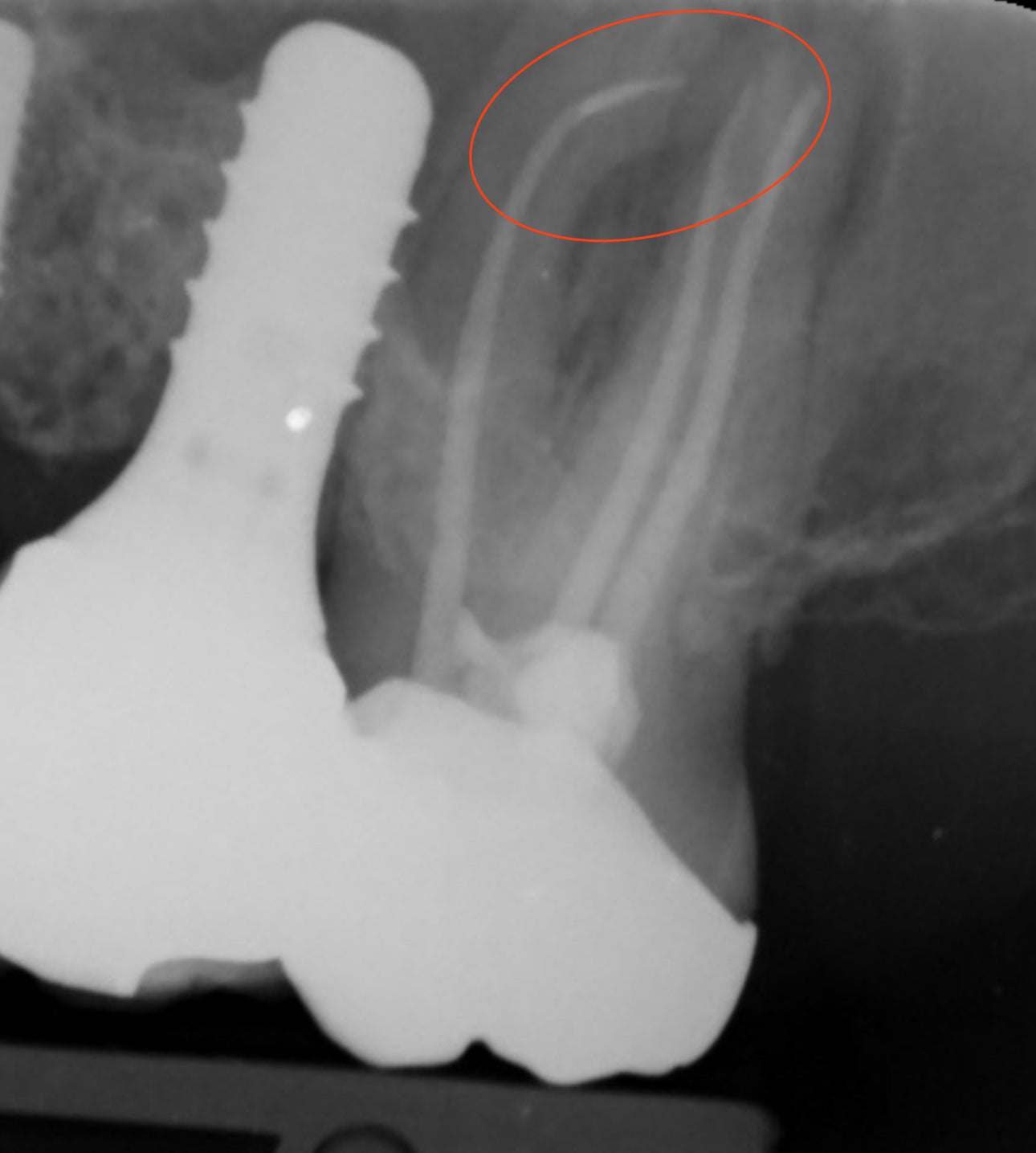
- Begin by assessing the situation clinically and radiographically.
- A cbct scan is very useful for these cases.
- Confirm the presence and location of the broken file within the root canal.
2. Treatment Planning:
- Develop a comprehensive treatment plan based on the specific case.
- Consider factors such as the length and location of the broken file, canal curvature, and proximity to vital structures.
- Decide whether file retrieval is necessary or if other options like bypassing or monitoring the file are feasible.
- Remember, do not make the situation worse.
3. Gain Access:
- Access the tooth through an appropriate access cavity, ensuring a straight-line access to the canal where the file is located. The large files in the endo file removal kit are very useful.
4. Create a Glide Path:
- Establish a glide path using hand files or rotary files to create a smooth and gradually tapered pathway for the ultrasonic tips.
- This step is crucial for safe and efficient ultrasonic file retrieval.
5. Choose the Ultrasonic Tips:
- Select the ultrasonic tips, such as ED87, ED88, ED89, and ED6, based on the case's specific requirements. Smaller and more delicate tips are often preferred for precision work.
-
The Katana tips on ED87, ED88, and ED89 provide a crucial advantage during this phase. Due to their tapered design, they can access the created space with precision, allowing for controlled movement of the fractured instrument. The Katana tips help in "dancing" the instrument, essentially shifting it to a more coronal position within the canal without the need for excessive force or removal of additional dentin.
The key benefit of the Katana tips is their ability to minimise dentin removal while ensuring the safe retrieval of the fractured instrument. This conservative approach is vital for maintaining the structural integrity of the tooth, reducing the risk of root fracture or perforation.
-
See Prof Yoshi Terauchi unboxing video of the TFRK here:
6. Ultrasonic Activation for Semicircular Space:
- Use the ultrasonic tip to create a semicircular space on the inner canal wall adjacent to the broken file.
- Place the ultrasonic tip between the broken file and the dentine wall on the opposite side (outer wall).
- Activate the ultrasonic tip with gentle, controlled movements, ensuring that it doesn't contact the file directly.
- The ultrasonic vibrations will help in gradually cutting away the dentine, creating space around the file.
- Maintain constant irrigation to prevent heat buildup and flush out debris.
7. Monitor Progress:
- Continuously assess your progress using magnification tools like a dental operating microscope (DOM).
- Be cautious not to apply excessive pressure on the file, as it may lead to further complications or file push-through.
8. File Retrieval:
- As you create the semicircular space and the file becomes more mobile, attempt to engage and retrieve the file using appropriate retrieval instruments or techniques.
- You can consider using a loop device or and IRS type device.
- If the file is resistant to retrieval, continue creating more space until it can be safely and easily removed.
9. Verify Retrieval:
- After successful file retrieval, confirm its complete removal from the canal.
- Ensure that the canal is free of any obstructions or fragments.
10. Cleaning and Shaping:
- Proceed with the standard cleaning and shaping procedures for root canal treatment. Be aware that there may be complex anatomy present that resulted in the file to break in the first place.
- Ensure that the canal is adequately disinfected, shaped, and filled.
11. Post-Treatment Assessment:
- Perform post-operative radiographs to confirm the quality of the root canal treatment.
- Assess for any potential complications or issues.
12. Documentation:
- Document the entire procedure, including images and notes, for your patient's records.
It's important to note that ultrasonic file retrieval requires skill and experience, and not all broken files can be retrieved successfully. In some cases, bypassing the file with D-finders or considering alternative treatment options may be more appropriate. Always prioritise patient safety and the preservation of tooth structure throughout the procedure.


